
Patients who have pain on the outside of their feet may have developed cuboid syndrome. This condition can happen by incurring an injury that affects the cuboid bone. This bone is one of seven tarsal bones that connect to the toes and heel and contributes to a normal gait or walking style. Cuboid syndrome may be prevalent among runners and ballet dancers due to its repetitive impact. Additionally, it may occur in people who run on uneven surfaces or wear shoes that do not have adequate support. The common symptoms that are experienced can include ankle pain that is sudden or gradual, and the entire foot may be tender or sore. An X-ray can help rule out a fracture. Typically, the activity that caused the pain must be stopped and the affected foot should be elevated as often as possible. The healing process may be accelerated when non-impact exercises are performed as this can help strengthen the entire foot. If you have pain along the outside of your foot please consult a podiatrist who can determine if cuboid syndrome is the cause as well as provide effective treatment techniques.
Cuboid syndrome, also known as cuboid subluxation, occurs when the joints and ligaments near the cuboid bone in the foot become torn. If you have cuboid syndrome, consult with one of our podiatrists from Westside Podiatry Center, LLP. Our doctors will assess your condition and provide you with quality foot and ankle treatment.
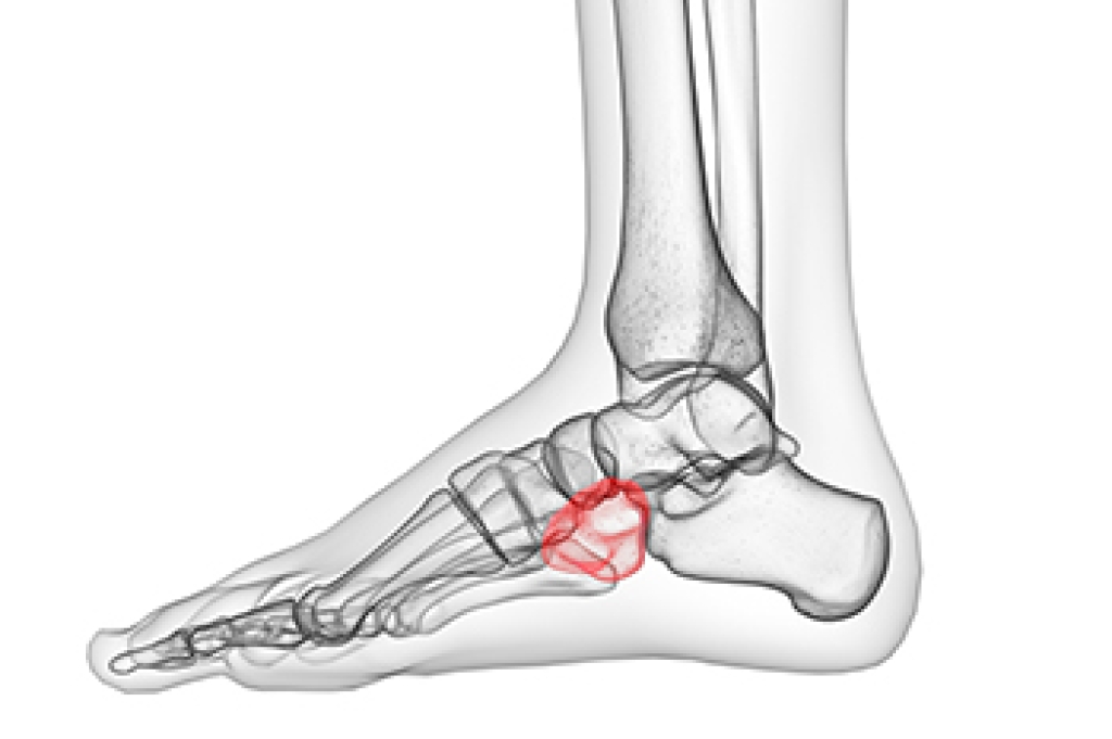
Cuboid syndrome is a common cause of lateral foot pain, which is pain on the outside of the foot. The condition may happen suddenly due to an ankle sprain, or it may develop slowly overtime from repetitive tension through the bone and surrounding structures.
Causes
The most common causes of cuboid syndrome include:
- Injury – The most common cause of this ailment is an ankle sprain.
- Repetitive Strain – Tension placed through the peroneus longus muscle from repetitive activities such as jumping and running may cause excessive traction on the bone causing it to sublux.
- Altered Foot Biomechanics – Most people suffering from cuboid subluxation have flat feet.
Symptoms
A common symptom of cuboid syndrome is pain along the outside of the foot which can be felt in the ankle and toes. This pain may create walking difficulties and may cause those with the condition to walk with a limp.
Diagnosis
Diagnosis of cuboid syndrome is often difficult, and it is often misdiagnosed. X-rays, MRIs and CT scans often fail to properly show the cuboid subluxation. Although there isn’t a specific test used to diagnose cuboid syndrome, your podiatrist will usually check if pain is felt while pressing firmly on the cuboid bone of your foot.
Treatment
Just as the range of causes varies widely, so do treatments. Some more common treatments are ice therapy, rest, exercise, taping, and orthotics.
If you have any questions, please feel free to contact one of our offices located in Liverpool, Camillus, Skaneateles, Oswego, and Cicero, NY . We offer the newest diagnostic and treatment technologies for all your foot care needs.



